Soluciones en mamografía
Esaote basado en un concepto innovador, dedica a las imágenes de diagnóstico mamario el mejor software para mamografía aplicado a nivel de gestión, generación de informes, archivado y distribución de mamografías digitales en programas de screening de cáncer de mama, así como en sistemas de información hospitalaria integrada y entornos de RIS PACS.
Todos los datos del historial médico en un entorno de trabajo unificado.
Protocolos de lectura double-blind, proceso de revisión con arbitraje automático y reasignación del estudio, informes estructurados.
Conjunto de funcionalidades adecuadas para el manejo y la notificación de los servicios mamográficos, provistos bajo el régimen de screening mamográfico de nivel I y II
Categorías : Informática médica, Solución en Mamografía
Todos los datos del historial médico en un entorno de trabajo unificado.
Protocolos de lectura double-blind, proceso de revisión con arbitraje automático y reasignación del estudio, informes estructurados.
Conjunto de funcionalidades adecuadas para el manejo y la notificación de los servicios mamográficos, provistos bajo el régimen de screening mamográfico de nivel I y II
Herramientas avanzadas de procesamiento de imágenes y visualización con filtrado de mejoras por contraste.
Módulo de seguimiento, con generación automática de listas de recordatorios y módulo de derivación a modalidades.
Generación de informes estructurados directamente en las imágenes, con opción de generación en PDF y grabación de un CD.
Soluciones, ventajas y beneficios
-
Seguridad de información basada en GDPR.
-
Herramientas innovadoras para la presentación de informes integrados. Registro de pacientes, gestión de ingresos hospitalarios y herramientas administrativas completas.
-
Representación estructurada de datos médicos (exámenes e intervenciones anteriores, indicios y síntomas, observaciones y mediciones) e inserción de alarmas (herencia, operaciones quirúrgicas, retrasos en exámenes de informes con resultados positivos, discrepancias de lecturas).
-
Diseños de informes y firmas digitales totalmente personalizables.
-
Módulo de seguimiento, con generación automática de listas de recordatorios y módulo de derivación a modalidades.
-
Trazabilidad de las pruebas y los datos ejecutados por el tecnólogo.
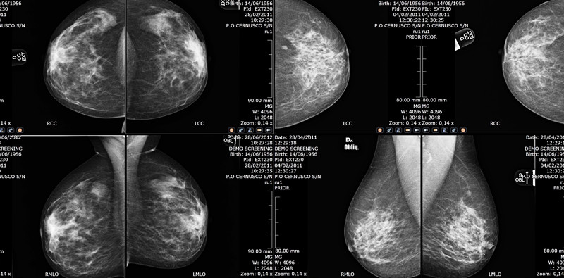
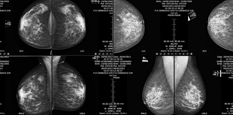
SUITESTENSA MG cuenta con herramientas avanzadas para la gestión y el post-procesamiento de las imágenes y los datos mamográficos, con particular atención a la comparación ergonómica, funcional y automatizada de los estudios anteriores.
-
Informe estructurado en PDF (grabable en CD/DVD) con texto, imágenes, mediciones, post-procesamiento y filtros, firma digital y marca de tiempo.
-
Informes de doble ciego personalizables de acuerdo con la regla: "varios accesos, un único examen".
-
Solicitud automática para la revisión de lecturas contradictorias (tercera lectura/arbitraje).
-
Reasignación de una lectura temporal/pendiente a otro operador/lector y gestión de la validación final.
-
Marcado digital de las pruebas médicas e inserción de anotaciones directamente en las imágenes de diagnóstico mostradas (gracias a los informes estructurados DICOM en formato HTML).
-
Listas de trabajo que se cargan y se descargan en tiempo real, se dividen por operador/modalidad/estado de lectura y muestran el estado de las lecturas en tiempo real.
-
Examen comparativo automático del estudio actual y anterior con espacio de trabajo especializado para ambos, incluso en los casos en que los estudios pertenezcan a diferentes series o pacientes.
-
Potente motor de búsqueda, herramientas estadísticas y exportación de datos a JPEG, TIFF , BMP , XML, CSV, etc.
-
Unificado de interfaz gráfica de usuario, fácil, intuitiva y armonizado entre los diversos componentes (informes, visualización de imágenes, navegación de datos del paciente).
-
Gestión de imágenes clave con la posibilidad de incluirlos en el informe estructurado a través de distintas operaciones.



